Watery Eyes

The condition referred to as ‘watering eye’ or 'watery eye', or the excessive production of tears to the point where they can overflow down the cheek, is known as “epiphora”.

A watering eye can cause numerous problems which interfere with day to day living:

  • Social embarrassment – people with a watery eye are frequently dabbing the eyes with a tissue especially in cold windy conditions. Onlookers may mistakenly think they are crying
  • Blurred vision – clear vision depends on a healthy smooth tear film that lubricates the surface of the eye evenly. Excessive tears build up on the lower eyelid margin and can blur the vision especially when looking down
  • Sore and red eyelid skin – tears frequently spilling onto the lower eyelid and cheek skin can irritate it. The constant wiping with a tissue or handkerchief exacerbates this problem

In most cases the cause of watering from ther eye is the impairment of tear drainage from the eye. This impaired drainage can be diagnosed by placing a drop of fluorescein in each eye. Fluorescein is a special orange dye that fluoresces when a special blue light is shone on it. Fluorescein not only shows show how high the tear level on the lower eyelid margin is but can also show how quickly or slowly the dye drains away from the eye with the tears.

This is shown in the photos below.

Watery eyes

This patient’s right eye has no watering.
All the fluorescein has drained away from the eye.

Watery eye draining

The same patient’s left eye waters constantly.
Fluorescein shows the tear level is high.
Tears are failing to drain away from the eye.

Cause of a watery eye

The treatment of a watery eye will depend on the cause.

Common causes include eyelid laxity (ectropion), punctal stenosis, blocked tear ducts and dry eye conditions.

These causes and treatment options are described below.

  • Dry eye and reflex watering (reflex epiphora)- occasionally a dry eye can lead to excessive tear production and symptoms of watering. In a dry eye the surface of the eye has insufficient lubrication and becomes exposed. The tear glands then produce an excessive volume of tears as a reflex response. These excessive tears spill out of the eye. This can also occur when the eyelid glands are blocked or inflamed (meibomian gland dysfunction or MGD). In MGD the oily layer of the tear film is deficient and so the tears evaporate too quickly. This is known as evaporative dry eye and can also lead to reflex watering of the eyes.
  • Reflex watering associated with dry eye often leads to confusion with patients finding it difficult to understand why they have been prescribed artificial tears to improve their watering eye symptoms.
  • Eyelid laxity (ectropion) – the lower eyelid can often become lax with ageing and sit away from the eyeball. An eyelid tightening procedure (a lateral tarsal strip or lateral canthopexy) can correct this.
    For more information on ectropion correction please click here:link to ectropion page
  • Punctal stenosis – this is a narrowing of the tear duct opening within the inner corner of the eyelids (the punctum). This is a common problem and can occur if there is eyelid margin inflammation (blepharitis) or if the eyelid is lax and the punctum sits away from the eyeball (ectropion). A punctoplasty can be performed to enlarge the punctum and thus improve watering from the eye.
  • Canalicular stenosis / obstruction – the canaliculi are delicate drainage passages in the eyelids. These convey tears from the puncta (little holes on the inner aspects of the eyelids) to the tear sac. These can become narrowed or blocked up by trauma, infection and some treatments (e.g. chemotherapy for cancer can sometimes cause canalicular obstruction).
  • Canalicular obstruction can cause very troublesome watering. The treatment will depend on the location of the blockage and the extent of the blockage. Some patients can have a Crawford silicone stent inserted to widen the narrowed passageways. This may     remain in place for up to 3 months and then removed in clinic
  • Blocked tear duct (nasolacrimal duct obstruction or NLDO) – this is one of the commonest causes of a watery eye

The nasolacrimal duct is a narrow passageway that allows tears to drain from the tear sac into the nose. A watery eye can result from either a partial or complete blockage of the tear duct.

Blockage of the nasolacrimal duct tends to occur more frequently with ageing and is more common in women. However it can occur at any age. Even some children are born with blocked tear ducts and suffer watery sticky eyes (congenital nasolacrimal duct obstruction).

Blockage of the tear ducts can usually be easily diagnosed at the time of a clinic consultation by performing a syringing of the tear ducts (also known as a “sac wash-out”):

After instilling some anaesthetic drops in the eye a small quantity of saline (salty water) is injected through a fine blunt-tipped tube (a lacrimal cannula).

 If the tear duct is not completely blocked then the patient will notice some fluid entering the nose and be able to taste some salty water (saline) in the back of the throat. This test can diagnose a partial or complete obstruction of the tear duct.

Sometimes a special x-ray (a dacryocystogram or DCG) or a radioactive tracing test (a lacrimal scintigram) may be required to identify the cause of the problem. These tests can be useful if syringing fails to demonstrate any obvious obstruction.

Occasionally the blockage in the tear duct can result in an infection in the tear sac (dacryocystitis). 

This can cause severe inflammation and discomfort. It can also rarely spread to the eye socket (orbit) and threaten vision.

Dacryocystitis requires urgent treatment with oral antibiotics followed by tear duct bypass surgery (a dacryocystorhinostomy or DCR) a few days or weeks later.

Acute dacryocystitis

The area below the inner aspect of this patient’s left eye is swollen due to infection of the tear sac.

dacryocystitis

Watery Eye Treatments

Punctoplasty:

The inner aspect of each eyelid has a little tear drainage hole (known as a punctum). This can often become narrowed (punctal stenosis). This is common cause of impaired tear drainage resulting in watering of the eye.

Punctal stenosis can be corrected by performing a punctoplasty.

A punctoplasty is a short procedure performed under local anaesthetic. The narrowed punctum is widened using either a “Kelly punch” instrument or temporary placement of a perforated punctal plug.

perforated punctal plug is a tiny specially designed plug with a drainage hole that is inserted into the narrowed punctum for 6 weeks whilst the underlying cause is treated (e.g. simple daily lid hygiene can treat blepharitis or an ectropion repair can correct the eyelid position and return the punctum to it’s normal position). After removal of the perforated plug the enlarged punctum can drain tears more effectively.

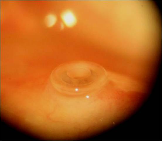
Perforated punctal plug

Diagram of a Perforated Punctal Plug

Perforated punctal plug in position

Perforated Punctal Plug in position

Perforated punctal plug removed

Enlarged punctum after Plug removal

Crawford Silicone Stent Intubation

Patients with partial tear duct obstruction or partial canalicular obstruction can sometimes get improvement in their watering after temporary placement of Crawford silicone stents.

These are very fine silicone tubes that are passed through the narrowed tear ducts and into the nose.

They are usually removed after 6-12 weeks.

The resulting widening of the tear ducts can improve drainage and watery eye symptoms.

Stent installed

Crawford Stent just visible at inner corner of eye

Dacryocystorhinostomy (DCR) / Tear Duct Bypass Surgery

The most effective way to deal with a partial or complete blockage of the nasolacrimal duct is to perform a dacryocystorhinostomy (DCR or tear duct bypass).

A DCR is performed where there is an obstruction in the tear drainage system by making a small incision on the side of the nose (an external DCR), or through the nose with the use of an endoscope (an endoscopic DCR). The success rate of both approaches is better than 90%.

The skin incision used for an external DCR is small and usually heals very well with no obvious scar after a few months. However, the endoscopic approach avoids such an incision and is a popular choice with a rapid recovery time. Female patients and young patients in particular may opt for an endoscopic approach to eliminate the risk of a visible scar after DCR surgery.

During the surgery a small part of the bone between the tear sac and the inside of the nose is removed so that a new connection can be made between the tear sac and the nose. This bypasses the blockage lower down in the nasolacrimal duct. A fine silicone tube (e.g. Crawford Stent shown above) is kept in place to help maintain the new connection whilst the tissues heal. This is removed after a few weeks.

Lester Jones Tube (CDCR)

The CDCR operation is performed for patients who have a complete blockage of the tear passages in the eyelids. The operation is very similar to a DCR but in addition a permanent tiny glass tube (Lester Jones tube) is placed between the inner corner of the eye. The tube is almost invisible.

CDCR surgery is usually performed endoscopically (avoiding a skin incision)

Your consultation

The success and safety of your eyelid surgery procedure depends very much on your complete candidness during your cosmetic eyelid surgery consultation. You'll be asked a number of questions about your health, desires and lifestyle.

Please be prepared to discuss:

  • Why you want the surgery, your expectations and desired outcome
  • Medical conditions, drug allergies and previous medical treatments
  • Use of current medications, vitamins, herbal supplements, alcohol & tobacco
  • Previous surgeries

The following will also take place at your consultation

  • Evaluation of your general health and any pre-existing health conditions or risk factors
  • An assessment of your vision and a thorough eye examination including a slit-lamp examination of the eye.
  • Photographs for your medical record
  • A discussion about treatment options
  • Recommendations for treatment most appropriate for you
  • Discussion about likely outcomes of eyelid surgery and risks or potential complications
  • The type of anaesthesia that will be used (This is usually “Twilight anaesthesia” using local anaesthesia with intravenous sedation administered by a consultant anaesthetist. However, a full general anaesthetic can be arranged if you prefer this option)

After the consultation I will send you a letter summarising your concerns and desires relating to your appearance along with my assessment and advice to you regarding treatment options.

You will also receive a quote for your proposed surgery and have the opportunity to attend for a further consultation prior to proceeding should you wish to ask any further questions.

Arrange a consultation